JavaScript is disabled in your browser. Please enable JavaScript to view this website.

Anti-galectin 9/Gal-9 antibody [EPR22214] - Low endotoxin, Azide free(ab246797)

$undefined

Anti-galectin 9/Gal-9 antibody [EPR22214] - Low endotoxin, Azide free(ab246797)

Anti-galectin 9/Gal-9 antibody [EPR22214] - Low endotoxin, Azide free(ab246797)

Anti-galectin 9/Gal-9 antibody [EPR22214] - Low endotoxin, Azide free(ab246797)

Anti-galectin 9/Gal-9 antibody [EPR22214] - Low endotoxin, Azide free(ab246797)

Anti-galectin 9/Gal-9 antibody [EPR22214] - Low endotoxin, Azide free(ab246797)

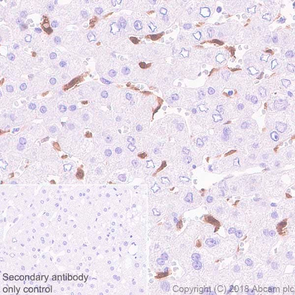
Rabbit Recombinant Monoclonal galectin 9/Gal-9 antibody. Carrier free. Suitable for WB, ICC/IF, Flow Cyt (Intra), IHC-P and reacts with Human samples.
Specifications
Shipped At Conditions Blue Ice
Appropriate Long term Storage Conditions Store at +4°C.
Clonality Monoclonal
Applications Flow Cyt (Intra), ICC/IF, IHC-P, IP, WB
Species Reactivity Human
Isotype IgG