JavaScript is disabled in your browser. Please enable JavaScript to view this website.

Anti-CD276 antibody [SP206] - Low endotoxin, Azide free(ab246794)

$undefined

Anti-CD276 antibody [SP206] - Low endotoxin, Azide free(ab246794)

Anti-CD276 antibody [SP206] - Low endotoxin, Azide free(ab246794)

Anti-CD276 antibody [SP206] - Low endotoxin, Azide free(ab246794)

Anti-CD276 antibody [SP206] - Low endotoxin, Azide free(ab246794)

Anti-CD276 antibody [SP206] - Low endotoxin, Azide free(ab246794)

Anti-CD276 antibody [SP206] - Low endotoxin, Azide free(ab246794)

Anti-CD276 antibody [SP206] - Low endotoxin, Azide free(ab246794)

Anti-CD276 antibody [SP206] - Low endotoxin, Azide free(ab246794)

Anti-CD276 antibody [SP206] - Low endotoxin, Azide free(ab246794)

Anti-CD276 antibody [SP206] - Low endotoxin, Azide free(ab246794)

Anti-CD276 antibody [SP206] - Low endotoxin, Azide free(ab246794)

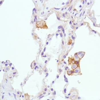
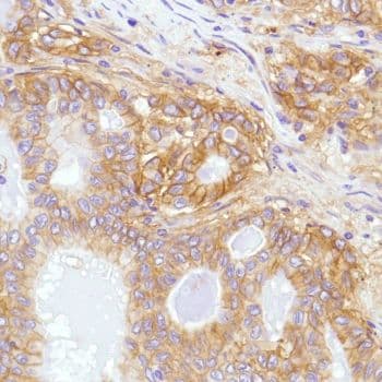
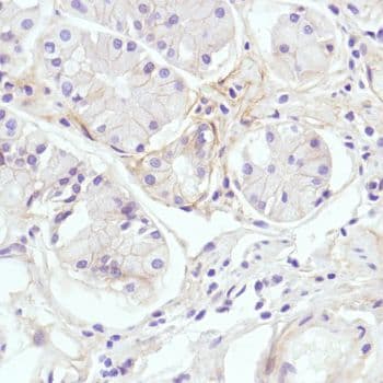
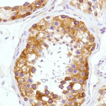
Rabbit Recombinant Monoclonal CD276 antibody. Carrier free. Suitable for IHC-P, WB and reacts with Human samples. Cited in 1 publication.
Specifications
Shipped At Conditions Blue Ice
Appropriate Long term Storage Conditions Store at +4°C.
Clonality Monoclonal
Applications IHC-P, WB
Species Reactivity Human
Isotype IgG