JavaScript is disabled in your browser. Please enable JavaScript to view this website.

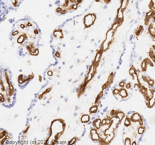
Anti-CD31 antibody [P2B1](AB24590)

$undefined

Anti-CD31 antibody [P2B1](AB24590)

Anti-CD31 antibody [P2B1](AB24590)

Anti-CD31 antibody [P2B1](AB24590)

Anti-CD31 antibody [P2B1] ab24590 is a mouse monoclonal antibody that is used in CD31 western blotting, IHC and immunofluorescence. Suitable for human samples.

- Antibody clone P2B1 has been tried and trusted by researchers since 2005 and is cited in >390 publications
Specifications
Shipped At Conditions Blue Ice
Appropriate Long term Storage Conditions Store at -20°C.
Clonality Monoclonal
Applications ICC, IHC-Fr, IHC-P, WB
Species Reactivity Cow, Human
Isotype IgG1