JavaScript is disabled in your browser. Please enable JavaScript to view this website.

PAS Stain Kit (Fungus, Periodic Acid Schiff Stain)(AB245886)

$undefined

PAS Stain Kit (Fungus, Periodic Acid Schiff Stain)(AB245886)

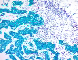
PAS Stain Kit (Fungus, Periodic Acid Schiff Stain) ab245886 is intended for use in histological demonstration of fungal organisms in tissue sections.
Specifications
Shipped At Conditions Blue Ice
Appropriate Long term Storage Conditions Store at Multi.