JavaScript is disabled in your browser. Please enable JavaScript to view this website.

Anti-ARID1B antibody(AB245537)

$undefined

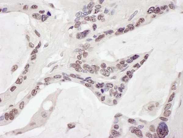
Arid1b Antibody Ab245537  Immunohistochemistry Formalin Pfa Fixed Paraffin Embedded Sections Img92534

Arid1b Antibody Ab245537  Immunoprecipitation Img61872

Rabbit Polyclonal ARID1B antibody. Suitable for IHC-P, IP and reacts with Human samples. Immunogen corresponding to Synthetic Peptide within Human ARI1B_HUMAN aa 1850-1900.
Specifications
Shipped At Conditions Blue Ice
Appropriate Long term Storage Conditions Store at -20°C.
Clonality Polyclonal
Applications IHC-P, IP
Species Reactivity Human
Isotype IgG