JavaScript is disabled in your browser. Please enable JavaScript to view this website.

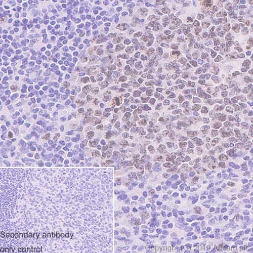
Anti-Ki67 antibody [37C7-12](AB245113)

$undefined

Anti-Ki67 antibody [37C7-12](AB245113)

Anti-Ki67 antibody [37C7-12](AB245113)

Anti-Ki67 antibody [37C7-12](AB245113)

Anti-Ki67 antibody [37C7-12](AB245113)

Anti-Ki67 antibody [37C7-12](AB245113)

Anti-Ki67 antibody [37C7-12](AB245113)

Anti-Ki67 antibody [37C7-12](AB245113)

Mouse Recombinant Monoclonal Ki67 antibody. Suitable for ICC/IF, Flow Cyt (Intra), IHC-P and reacts with Human samples. Cited in 23 publications.
Specifications
Shipped At Conditions Blue Ice
Appropriate Long term Storage Conditions Store at -20°C.
Clonality Monoclonal
Applications Flow Cyt (Intra), ICC/IF, IHC-P, WB
Species Reactivity Human
Isotype IgG2a