JavaScript is disabled in your browser. Please enable JavaScript to view this website.

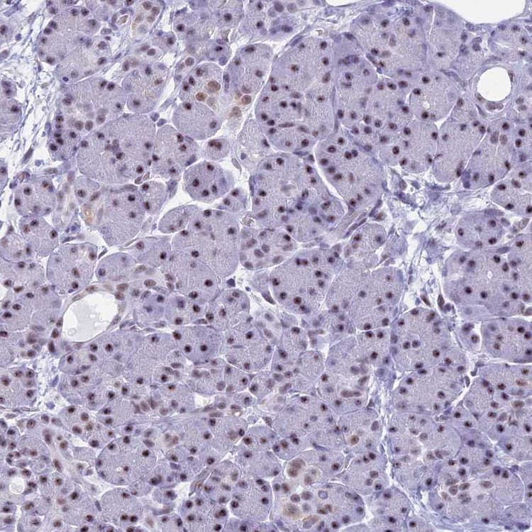
Anti-KLF14 antibody(ab244475)

$undefined

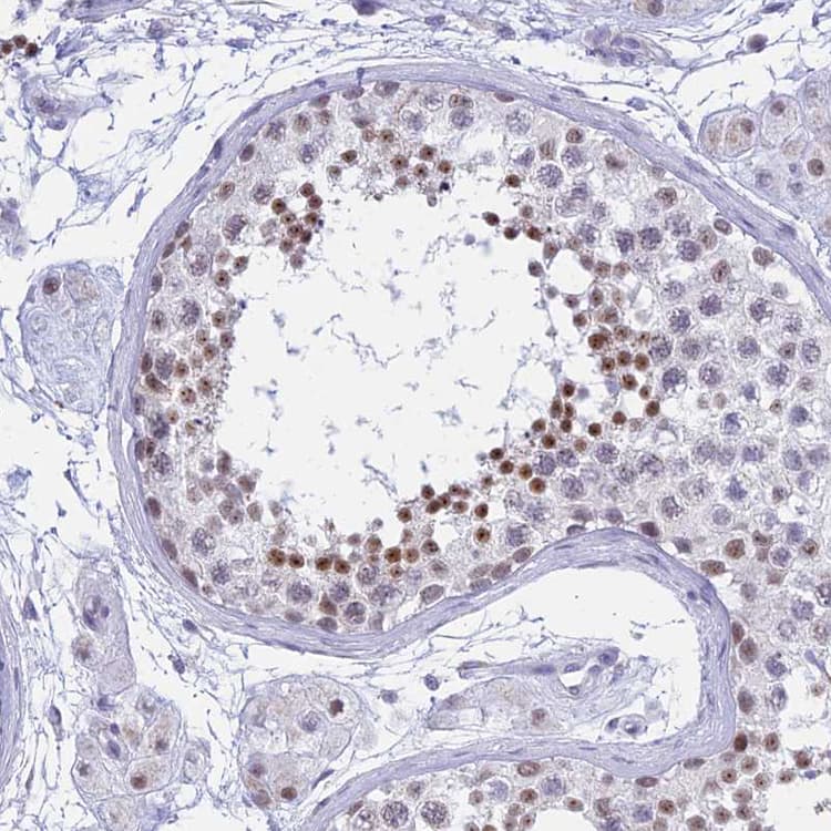
Anti-KLF14 antibody(ab244475)

Anti-KLF14 antibody(ab244475)

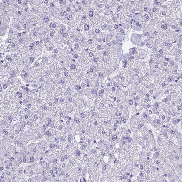
Anti-KLF14 antibody(ab244475)

Anti-KLF14 antibody(ab244475)

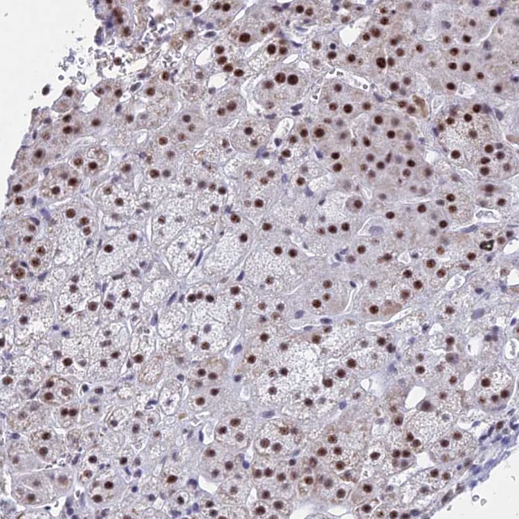
Anti-KLF14 antibody(ab244475)

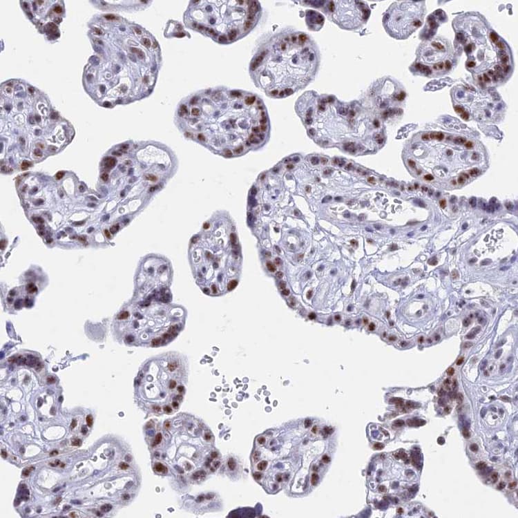
Rabbit Polyclonal KLF14 antibody. Suitable for IHC-P and reacts with Human samples. Cited in 1 publication. Immunogen corresponding to Recombinant Fragment Protein within Human Krueppel-like factor 14 aa 250 to C-terminus.
Specifications
Shipped At Conditions Blue Ice
Appropriate Long term Storage Conditions Store at -20°C.
Clonality Polyclonal
Applications IHC-P
Species Reactivity Human
Isotype IgG