JavaScript is disabled in your browser. Please enable JavaScript to view this website.

Anti-P4HA1 antibody(ab244302)

$undefined

Anti-P4HA1 antibody(ab244302)

Anti-P4HA1 antibody(ab244302)

Anti-P4HA1 antibody(ab244302)

Anti-P4HA1 antibody(ab244302)

Anti-P4HA1 antibody(ab244302)

Anti-P4HA1 antibody(ab244302)

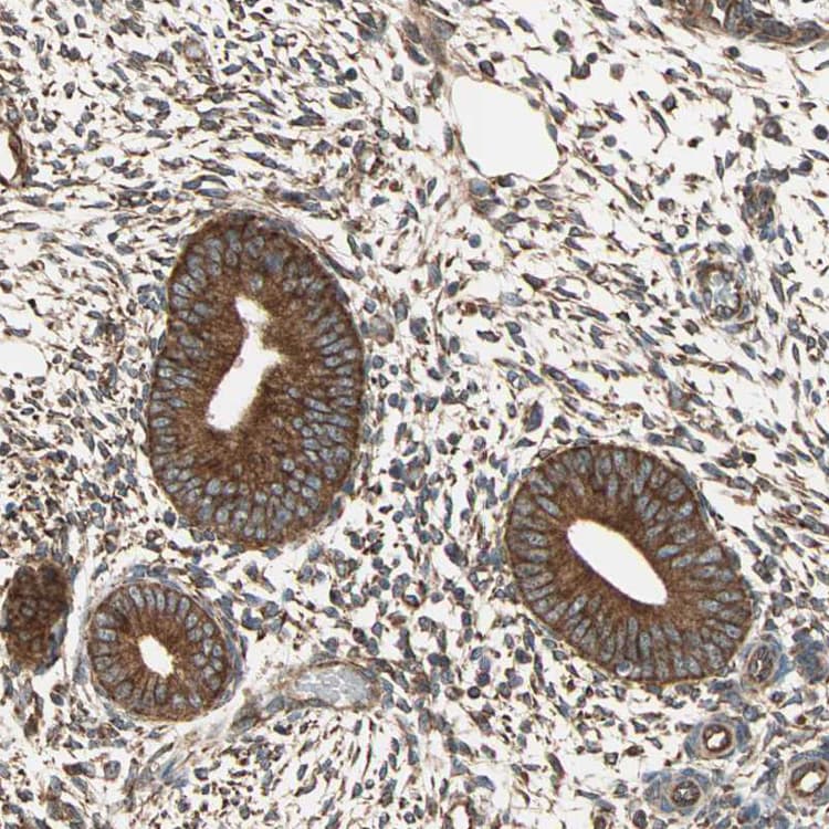
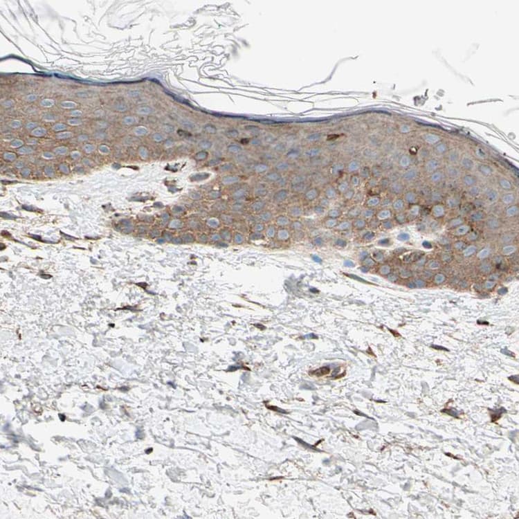
Rabbit Polyclonal P4HA1 antibody. Suitable for IHC-P, WB, ICC/IF and reacts with Human samples. Cited in 1 publication. Immunogen corresponding to Recombinant Fragment Protein within Human Prolyl 4-hydroxylase subunit alpha-1 aa 1-200.
Specifications
Shipped At Conditions Blue Ice
Appropriate Long term Storage Conditions Store at -20°C.
Clonality Polyclonal
Applications ICC/IF, IHC-P, WB
Species Reactivity Human
Isotype IgG