JavaScript is disabled in your browser. Please enable JavaScript to view this website.

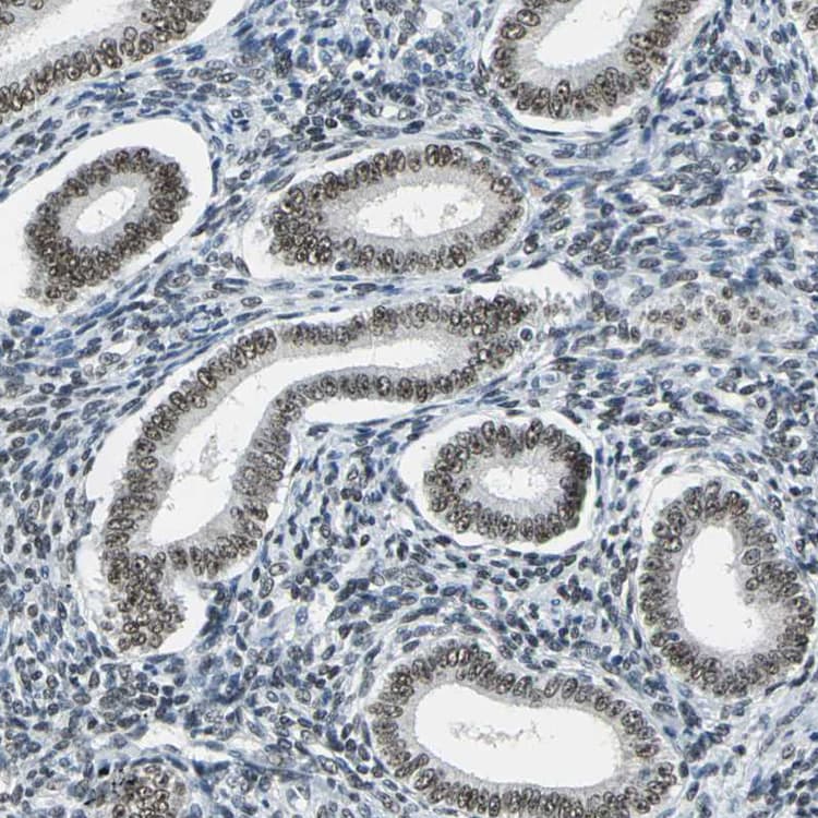
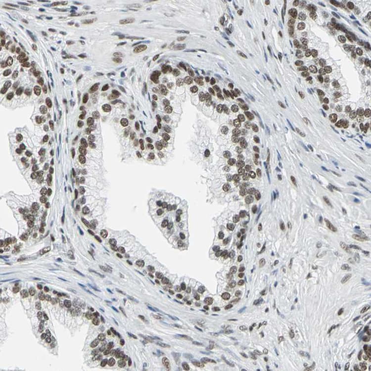
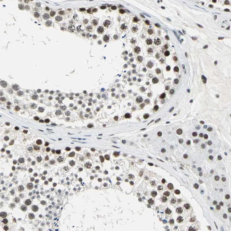
Anti-ADNP antibody(ab244286)

$undefined

Anti-ADNP antibody(ab244286)

Anti-ADNP antibody(ab244286)

Anti-ADNP antibody(ab244286)

Anti-ADNP antibody(ab244286)

Anti-ADNP antibody(ab244286)

Anti-ADNP antibody(ab244286)

Anti-ADNP antibody(ab244286)

Rabbit Polyclonal ADNP antibody. Suitable for IHC-P, ICC, WB and reacts with Human, Rat, Mouse samples. Immunogen corresponding to Recombinant Fragment Protein within Human ADNP aa 850-1050.
Specifications
Shipped At Conditions Blue Ice
Appropriate Long term Storage Conditions Store at -20°C.
Clonality Polyclonal
Applications ICC, IHC-P, WB
Species Reactivity Human, Mouse, Rat
Isotype IgG