JavaScript is disabled in your browser. Please enable JavaScript to view this website.

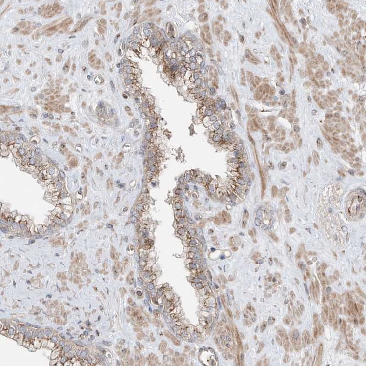
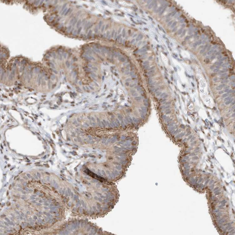
Anti-Protein CASP antibody(ab244269)

$undefined

Anti-Protein CASP antibody(ab244269)

Anti-Protein CASP antibody(ab244269)

Anti-Protein CASP antibody(ab244269)

Anti-Protein CASP antibody(ab244269)

Anti-Protein CASP antibody(ab244269)

Rabbit Polyclonal Protein CASP antibody. Suitable for IHC-P, WB, ICC/IF and reacts with Human samples. Immunogen corresponding to Recombinant Fragment Protein within Human Protein CASP aa 50-250.
Specifications
Shipped At Conditions Blue Ice
Appropriate Long term Storage Conditions Store at -20°C.
Clonality Polyclonal
Applications ICC/IF, IHC-P, WB
Species Reactivity Human
Isotype IgG