JavaScript is disabled in your browser. Please enable JavaScript to view this website.

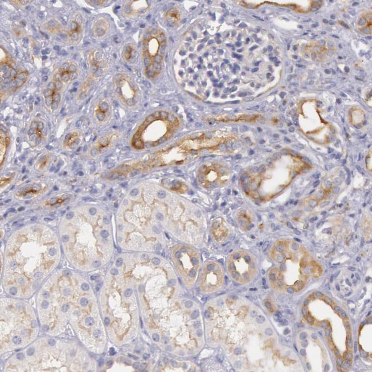
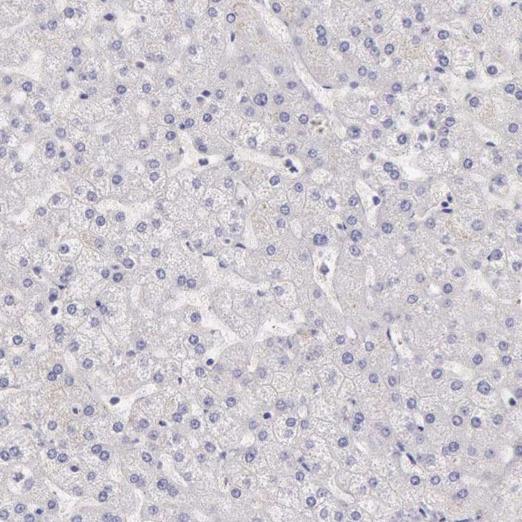
Anti-MYO5A antibody(ab244249)

$undefined

Anti-MYO5A antibody(ab244249)

Anti-MYO5A antibody(ab244249)

Anti-MYO5A antibody(ab244249)

Anti-MYO5A antibody(ab244249)

Anti-MYO5A antibody(ab244249)

Anti-MYO5A antibody(ab244249)

Rabbit Polyclonal MYO5A antibody. Suitable for IHC-P, ICC/IF and reacts with Human samples. Immunogen corresponding to Recombinant Fragment Protein within Human Unconventional myosin-Va aa 1350-1550.
Specifications
Shipped At Conditions Blue Ice
Appropriate Long term Storage Conditions Store at -20°C.
Clonality Polyclonal
Applications ICC/IF, IHC-P
Species Reactivity Human
Isotype IgG