JavaScript is disabled in your browser. Please enable JavaScript to view this website.

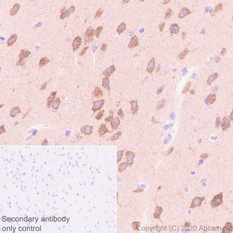
Anti-CYP46A1 antibody [1A7](ab244241)

$undefined

Anti-CYP46A1 antibody [1A7](ab244241)

Anti-CYP46A1 antibody [1A7](ab244241)

Mouse Recombinant Monoclonal CYP46A1 antibody. Suitable for WB, IHC-P and reacts with Mouse, Rat samples. Cited in 4 publications.
Specifications
Shipped At Conditions Blue Ice
Appropriate Long term Storage Conditions Store at -20°C.
Clonality Monoclonal
Applications Flow Cyt, ICC/IF, IHC-P, WB
Species Reactivity Human, Mouse, Rat
Isotype IgG1