JavaScript is disabled in your browser. Please enable JavaScript to view this website.

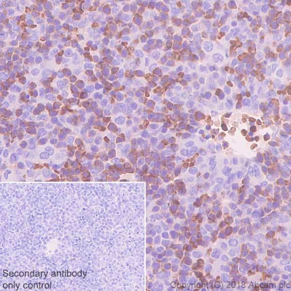
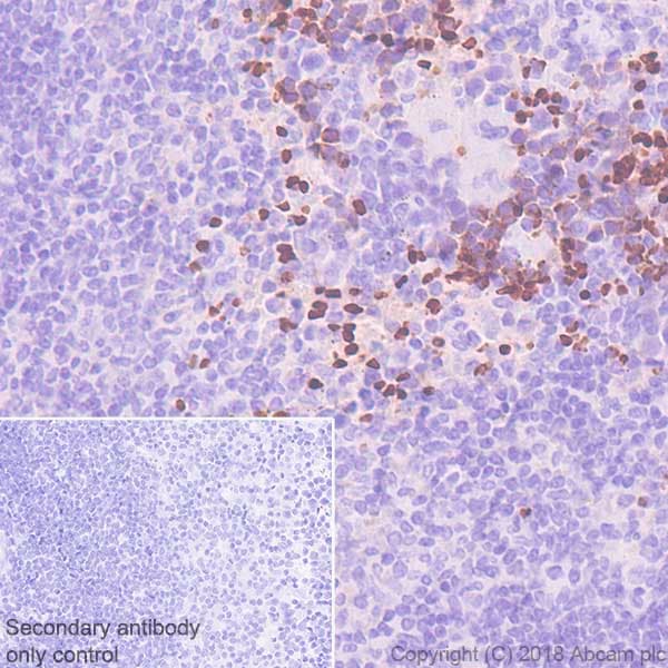
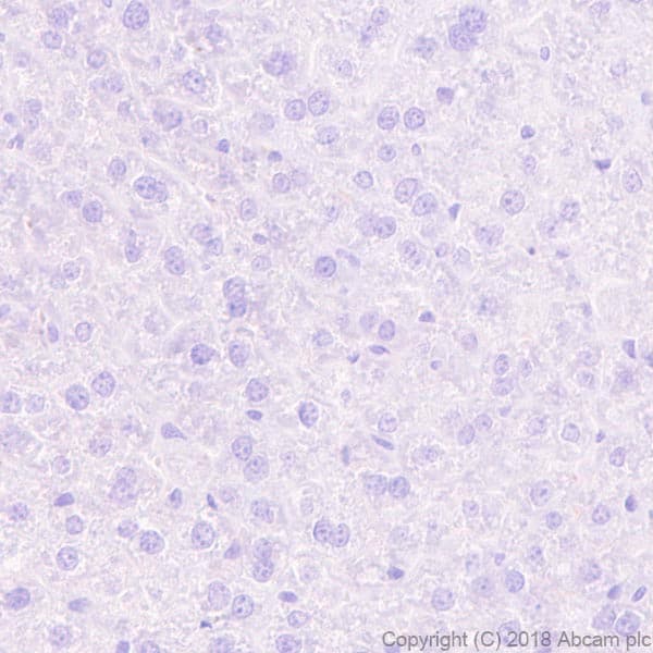
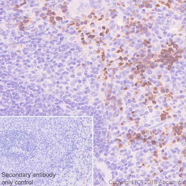
Anti-EPO-R antibody [EPR22366-40](ab244202)

$undefined

Anti-EPO-R antibody [EPR22366-40](ab244202)

Anti-EPO-R antibody [EPR22366-40](ab244202)

Anti-EPO-R antibody [EPR22366-40](ab244202)

Anti-EPO-R antibody [EPR22366-40](ab244202)

Rabbit Recombinant Monoclonal EPO-R antibody. Suitable for IHC-P and reacts with Mouse, Rat samples.
Specifications
Shipped At Conditions Blue Ice
Appropriate Long term Storage Conditions Store at -20°C.
Clonality Monoclonal
Applications Flow Cyt, IHC-Fr, IHC-P, IP, WB
Species Reactivity Mouse, Rat
Isotype IgG