JavaScript is disabled in your browser. Please enable JavaScript to view this website.

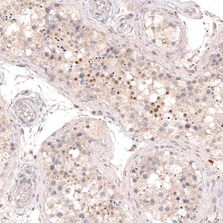
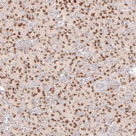
Anti-SOX6 antibody [CL5690](AB243576)

$undefined

Anti-SOX6 antibody [CL5690](AB243576)

Anti-SOX6 antibody [CL5690](AB243576)

Anti-SOX6 antibody [CL5690](AB243576)

Anti-SOX6 antibody [CL5690](AB243576)

Anti-SOX6 antibody [CL5690](AB243576)

Mouse Monoclonal SOX6 antibody. Suitable for IHC-P, ICC/IF and reacts with Human samples. Immunogen corresponding to Synthetic Peptide within Human SOX6 aa 300-400.
Specifications
Shipped At Conditions Blue Ice
Appropriate Long term Storage Conditions Store at -20°C.
Clonality Monoclonal
Applications ICC/IF, IHC-P
Species Reactivity Human
Isotype IgG2b