JavaScript is disabled in your browser. Please enable JavaScript to view this website.

Anti-IL-18 antibody [EPR19954-188](AB243091)

$undefined

Anti-IL-18 antibody [EPR19954-188](AB243091)

Anti-IL-18 antibody [EPR19954-188](AB243091)

Anti-IL-18 antibody [EPR19954-188](AB243091)

Anti-IL-18 antibody [EPR19954-188](AB243091)

Anti-IL-18 antibody [EPR19954-188](AB243091)

Anti-IL-18 antibody [EPR19954-188](AB243091)

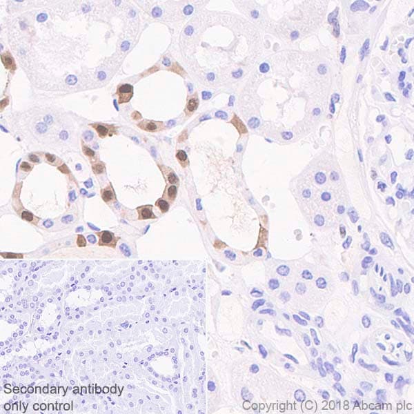
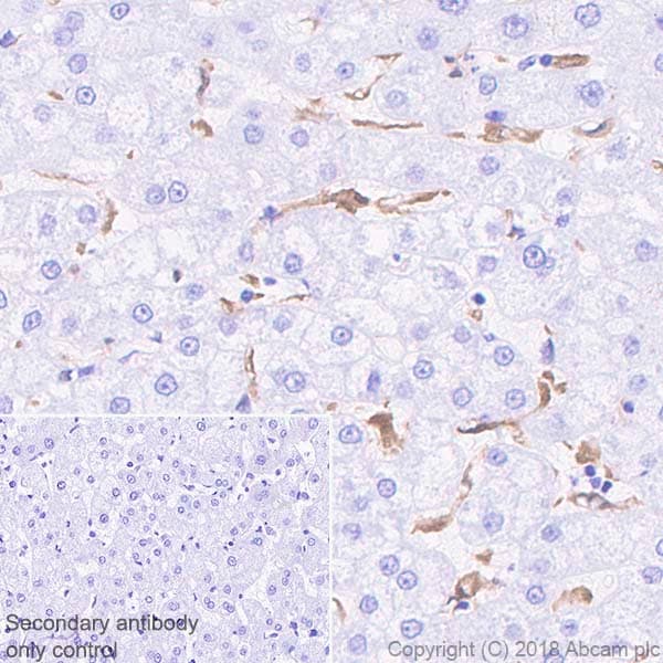
Rabbit Recombinant Monoclonal IL-18 antibody. Suitable for WB, Flow Cyt (Intra), IHC-P and reacts with Human samples. Cited in 21 publications.
Specifications
Shipped At Conditions Blue Ice
Appropriate Long term Storage Conditions Store at -20°C.
Clonality Monoclonal
Applications Flow Cyt (Intra), ICC/IF, IHC-P, WB
Species Reactivity Human
Isotype IgG