JavaScript is disabled in your browser. Please enable JavaScript to view this website.

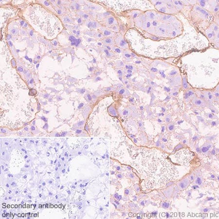
Anti-Alpha Dystroglycan antibody [45-3] - BSA and Azide free(ab242442)

$undefined

Anti-Alpha Dystroglycan antibody [45-3] - BSA and Azide free(ab242442)

Anti-Alpha Dystroglycan antibody [45-3] - BSA and Azide free(ab242442)

Anti-Alpha Dystroglycan antibody [45-3] - BSA and Azide free(ab242442)

Rabbit Recombinant Monoclonal DAG1 antibody. Carrier free. Suitable for WB, IHC-P and reacts with Mouse, Rat samples. Cited in 1 publication.
Specifications
Shipped At Conditions Blue Ice
Appropriate Long term Storage Conditions Store at +4°C.
Clonality Monoclonal
Applications ICC/IF, IHC-P, WB
Species Reactivity Human, Mouse, Rat
Isotype IgG