JavaScript is disabled in your browser. Please enable JavaScript to view this website.

Anti-Meckelin antibody [EPR17187] - BSA and Azide free(ab242412)

$undefined

Anti-Meckelin antibody [EPR17187] - BSA and Azide free(ab242412)

Anti-Meckelin antibody [EPR17187] - BSA and Azide free(ab242412)

Anti-Meckelin antibody [EPR17187] - BSA and Azide free(ab242412)

Anti-Meckelin antibody [EPR17187] - BSA and Azide free(ab242412)

Anti-Meckelin antibody [EPR17187] - BSA and Azide free(ab242412)

Anti-Meckelin antibody [EPR17187] - BSA and Azide free(ab242412)

Anti-Meckelin antibody [EPR17187] - BSA and Azide free(ab242412)

Anti-Meckelin antibody [EPR17187] - BSA and Azide free(ab242412)

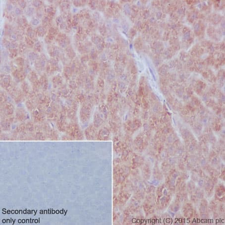
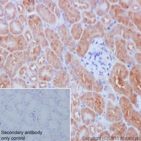
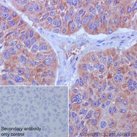
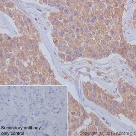
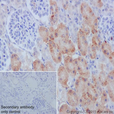
Rabbit Recombinant Monoclonal Meckelin antibody. Carrier free. Suitable for WB, ICC/IF, Flow Cyt (Intra), IHC-P and reacts with Mouse, Rat, Human samples.
Specifications
Shipped At Conditions Blue Ice
Appropriate Long term Storage Conditions Store at +4°C.
Clonality Monoclonal
Applications Flow Cyt (Intra), ICC/IF, IHC-P, WB
Species Reactivity Human, Mouse, Rat
Isotype IgG