JavaScript is disabled in your browser. Please enable JavaScript to view this website.

Anti-Ctip1/BCL-11A antibody [EPR14943-44] - BSA and Azide free(ab242406)

$undefined

Anti-Ctip1/BCL-11A antibody [EPR14943-44] - BSA and Azide free(ab242406)

Anti-Ctip1/BCL-11A antibody [EPR14943-44] - BSA and Azide free(ab242406)

Anti-Ctip1/BCL-11A antibody [EPR14943-44] - BSA and Azide free(ab242406)

Anti-Ctip1/BCL-11A antibody [EPR14943-44] - BSA and Azide free(ab242406)

Anti-Ctip1/BCL-11A antibody [EPR14943-44] - BSA and Azide free(ab242406)

Anti-Ctip1/BCL-11A antibody [EPR14943-44] - BSA and Azide free(ab242406)

Anti-Ctip1/BCL-11A antibody [EPR14943-44] - BSA and Azide free(ab242406)

Anti-Ctip1/BCL-11A antibody [EPR14943-44] - BSA and Azide free(ab242406)

Anti-Ctip1/BCL-11A antibody [EPR14943-44] - BSA and Azide free(ab242406)

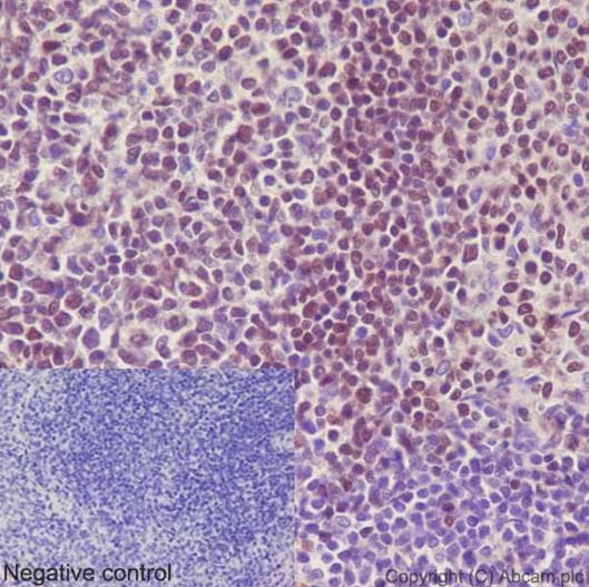
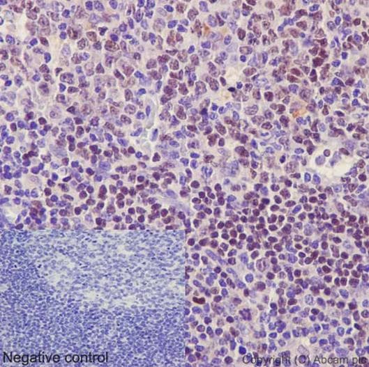
Rabbit Recombinant Monoclonal Ctip1/BCL-11A antibody. Carrier free. Suitable for IP, WB, ICC/IF, Flow Cyt (Intra), IHC-P and reacts with Human, Rat samples. Cited in 1 publication.
Specifications
Shipped At Conditions Blue Ice
Appropriate Long term Storage Conditions Store at +4°C.
Clonality Monoclonal
Applications Flow Cyt (Intra), ICC/IF, IHC-P, IP, WB
Species Reactivity Human, Rat
Isotype IgG