JavaScript is disabled in your browser. Please enable JavaScript to view this website.

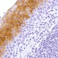
Anti-Cytokeratin 4 antibody [SP210] - BSA and Azide free(ab242402)

$undefined

Anti-Cytokeratin 4 antibody [SP210] - BSA and Azide free(ab242402)

Anti-Cytokeratin 4 antibody [SP210] - BSA and Azide free(ab242402)

Anti-Cytokeratin 4 antibody [SP210] - BSA and Azide free(ab242402)

Rabbit Recombinant Monoclonal K2C4 antibody. Carrier free. Suitable for IHC-P and reacts with Human samples.
Specifications
Shipped At Conditions Blue Ice
Appropriate Long term Storage Conditions Store at +4°C.
Clonality Monoclonal
Applications IHC-P
Species Reactivity Human
Isotype IgG