JavaScript is disabled in your browser. Please enable JavaScript to view this website.

Anti-Syndecan-1 antibody [SP152] - BSA and Azide free(ab242394)

$undefined

Anti-Syndecan-1 antibody [SP152] - BSA and Azide free(ab242394)

Anti-Syndecan-1 antibody [SP152] - BSA and Azide free(ab242394)

Anti-Syndecan-1 antibody [SP152] - BSA and Azide free(ab242394)

Anti-Syndecan-1 antibody [SP152] - BSA and Azide free(ab242394)

Anti-Syndecan-1 antibody [SP152] - BSA and Azide free(ab242394)

Anti-Syndecan-1 antibody [SP152] - BSA and Azide free(ab242394)

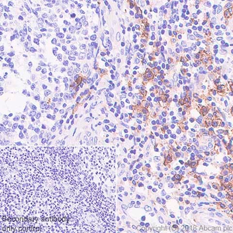
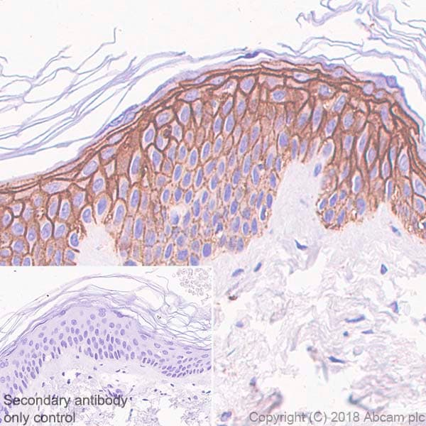
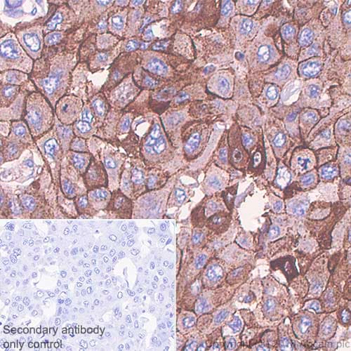
Rabbit Recombinant Monoclonal Syndecan-1 antibody. Carrier free. Suitable for IHC-P, Flow Cyt, ICC/IF and reacts with Human samples.
Specifications
Shipped At Conditions Blue Ice
Appropriate Long term Storage Conditions Store at +4°C.
Clonality Monoclonal
Applications Flow Cyt, ICC/IF, IHC-P
Species Reactivity Human
Isotype IgG