JavaScript is disabled in your browser. Please enable JavaScript to view this website.

Anti-LAMP1 antibody - Lysosome Marker(AB24170)

$undefined

Anti-LAMP1 antibody - Lysosome Marker(AB24170)

Anti-LAMP1 antibody - Lysosome Marker(AB24170)

Anti-LAMP1 antibody - Lysosome Marker(AB24170)

Anti-LAMP1 antibody - Lysosome Marker(AB24170)

Anti-LAMP1 antibody - Lysosome Marker(AB24170)

Anti-LAMP1 antibody - Lysosome Marker(AB24170)

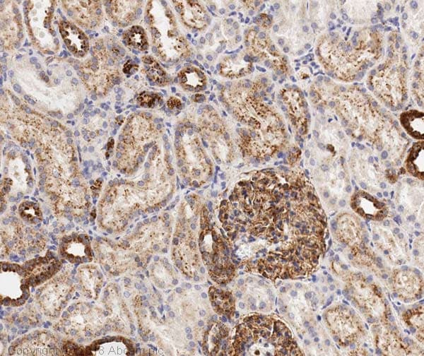
Anti-LAMP1 antibody ab24170 is a rabbit polyclonal antibody that is used in LAMP1 western blotting and IHC. Suitable for human samples.

- Tried and trusted by researchers since 2006
Specifications
Shipped At Conditions Blue Ice
Appropriate Long term Storage Conditions Store at -20°C.
Clonality Polyclonal
Applications IHC-P, WB
Species Reactivity Human
Isotype IgG