Anti-CDKN2A/p16INK4a antibody [PABLO33B](AB241543)
$undefined
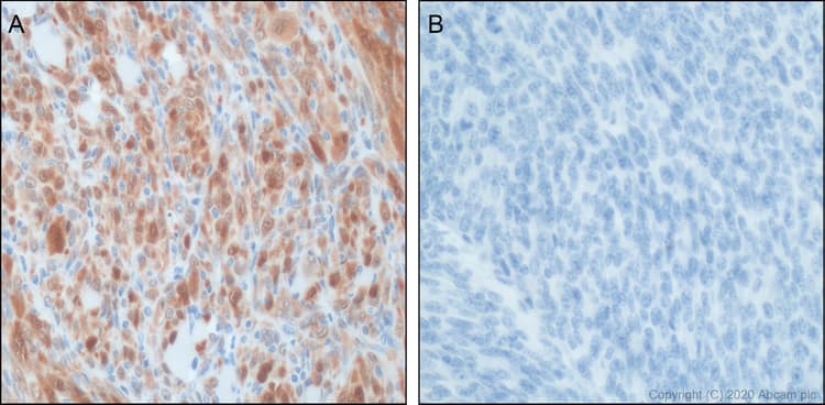
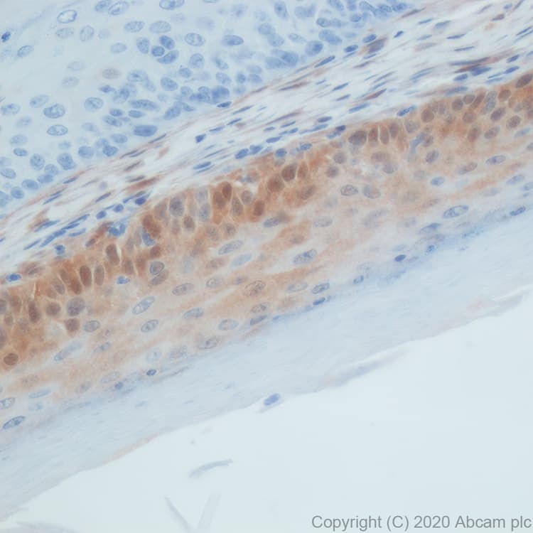
Anti-CDKN2A/p16INK4a antibody [PabLO33B] ab241543 is a rat monoclonal antibody that is used in CDKN2A/p16INK4a IHC. Suitable for mouse samples
- Recombinant format for unrivaled batch-batch consistency: no need for same-lot requests
- Specificity confirmed with p16 knockout cell line validation
- Specificity and sensitivity confirmed in IHC with multi-tissue microarray (TMA) validation
New 20 ul size available
- Recombinant format for unrivaled batch-batch consistency: no need for same-lot requests
- Specificity confirmed with p16 knockout cell line validation
- Specificity and sensitivity confirmed in IHC with multi-tissue microarray (TMA) validation
New 20 ul size available
| Shipped At Conditions | Blue Ice |
| Appropriate Long term Storage Conditions | Store at -20°C. |
| Clonality | Monoclonal |
| Applications | IHC-P |
| Species Reactivity | Mouse |
| Isotype | IgG2a |