JavaScript is disabled in your browser. Please enable JavaScript to view this website.

Anti-FAT/FAT1 antibody(ab241372)

$undefined

Anti-FAT/FAT1 antibody(ab241372)

Anti-FAT/FAT1 antibody(ab241372)

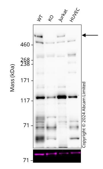
Rabbit Polyclonal FAT/FAT1 antibody. Suitable for WB and reacts with Mouse, Human samples. Cited in 1 publication. Immunogen corresponding to Synthetic Peptide within Human Protocadherin Fat 1 aa 4450-4550.
Specifications
Shipped At Conditions Blue Ice
Appropriate Long term Storage Conditions Store at -20°C.
Clonality Polyclonal
Applications WB
Species Reactivity Human, Mouse
Isotype IgG