JavaScript is disabled in your browser. Please enable JavaScript to view this website.

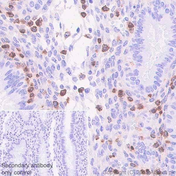
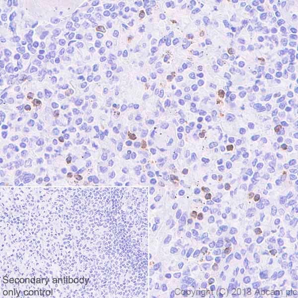
Anti-GNLY/Granulysin antibody [EPR22110-101](ab241333)

$undefined

Anti-GNLY/Granulysin antibody [EPR22110-101](ab241333)

Anti-GNLY/Granulysin antibody [EPR22110-101](ab241333)

Anti-GNLY/Granulysin antibody [EPR22110-101](ab241333)

Anti-GNLY/Granulysin antibody [EPR22110-101](ab241333)

Rabbit Recombinant Monoclonal GNLY/Granulysin antibody. Suitable for ICC/IF, WB, IHC-P and reacts with Human samples. Cited in 1 publication.
Specifications
Shipped At Conditions Blue Ice
Appropriate Long term Storage Conditions Store at -20°C.
Clonality Monoclonal
Applications ICC/IF, IHC-P, WB
Species Reactivity Human
Isotype IgG