JavaScript is disabled in your browser. Please enable JavaScript to view this website.

Anti-TIM 3 antibody [EPR22241](ab241332)

$undefined

Anti-TIM 3 antibody [EPR22241](ab241332)

Anti-TIM 3 antibody [EPR22241](ab241332)

Anti-TIM 3 antibody [EPR22241](ab241332)

Anti-TIM 3 antibody [EPR22241](ab241332)

Anti-TIM 3 antibody [EPR22241](ab241332)

Anti-TIM 3 antibody [EPR22241](ab241332)

Anti-TIM 3 antibody [EPR22241](ab241332)

Anti-TIM 3 antibody [EPR22241](ab241332)

Anti-TIM 3 antibody [EPR22241](ab241332)

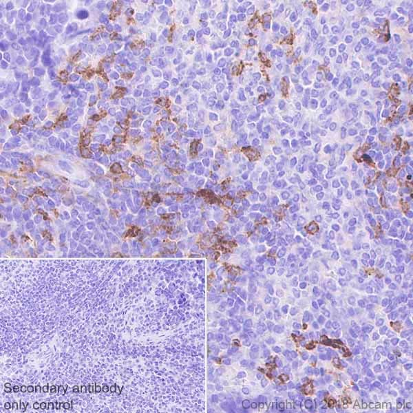
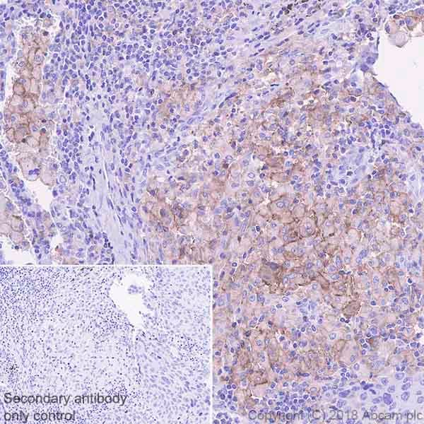
Anti-TIM 3 antibody [EPR22241] ab241332 is a rabbit monoclonal antibody that is used in TIM 3 western blotting and IHC. Suitable for human, mouse and rat samples.

- Recombinant format for unrivaled batch-batch consistency: no need for same-lot requests
- Specificity and sensitivity confirmed in IHC with multi-tissue microarray (TMA) validation
- Antibody clone EPR22241 is cited in over 30 publications
New 20 ul size available
Specifications
Shipped At Conditions Blue Ice
Appropriate Long term Storage Conditions Store at -20°C.
Clonality Monoclonal
Applications Flow Cyt, ICC/IF, IHC-P, IP, WB, mIHC
Species Reactivity Human, Mouse, Rat
Isotype IgG