JavaScript is disabled in your browser. Please enable JavaScript to view this website.

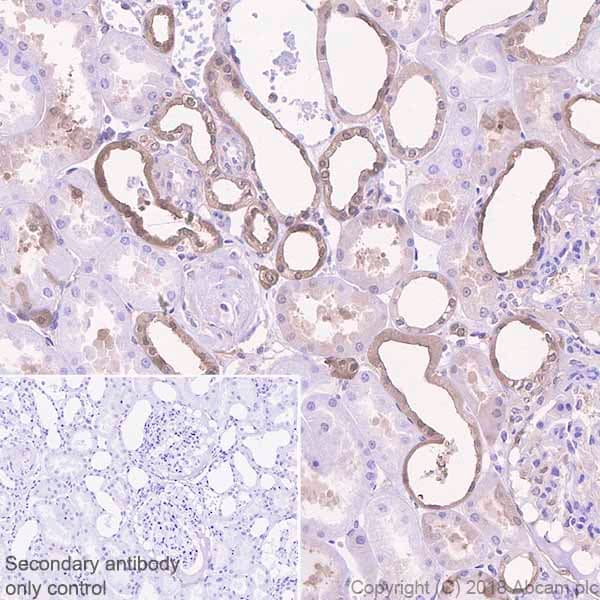
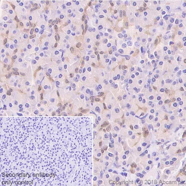
Anti-GST3 / GST pi antibody [EPR20554](ab241331)

$undefined

Anti-GST3 / GST pi antibody [EPR20554](ab241331)

Anti-GST3 / GST pi antibody [EPR20554](ab241331)

Anti-GST3 / GST pi antibody [EPR20554](ab241331)

Anti-GST3 / GST pi antibody [EPR20554](ab241331)

Anti-GST3 / GST pi antibody [EPR20554](ab241331)

Anti-GST3 / GST pi antibody [EPR20554](ab241331)

Anti-GST3 / GST pi antibody [EPR20554](ab241331)

Anti-GST3 / GST pi antibody [EPR20554](ab241331)

Rabbit Recombinant Monoclonal GST3 / GST pi antibody. Suitable for WB, ICC/IF, Flow Cyt (Intra), IHC-P and reacts with Human samples.
Specifications
Shipped At Conditions Blue Ice
Appropriate Long term Storage Conditions Store at -20°C.
Clonality Monoclonal
Applications Flow Cyt (Intra), ICC/IF, IHC-P, IP, WB
Species Reactivity Human
Isotype IgG