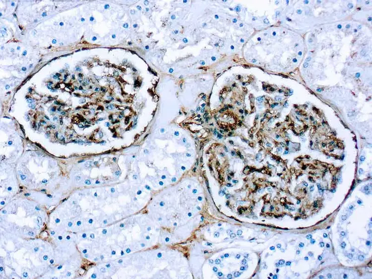
Immunohistochemistry (Formalin/PFA-fixed paraffin-embedded sections) - Anti-Fibronectin antibody (ab2413)
Immunohistochemistry (Formalin/PFA-fixed paraffin-embedded sections) analysis of human kidney tissue labelling Fibronectin with ab2413 at 1/50 dilution. Antigen retrieval performed with EDTA buffer pH 8 before commencing with IHC staining protocol.

Western blot - Anti-Fibronectin antibody (ab2413)
All lanes:
Western blot - Anti-Fibronectin antibody (ab2413) at 1 µg/mL
Lane 1:
Human colon tissue lysate at 10 µg
Lane 2:
HepG2 (Human hepatocellular liver carcinoma cell line) Whole Cell Lysate at 10 µg
Lane 3:
NIH 3T3 (Mouse embryonic fibroblast cell line) Whole Cell Lysate at 10 µg
Secondary
All lanes:
Goat polyclonal to Rabbit IgG - H&L - Pre-Adsorbed (HRP) at 1/3000 dilution
Predicted band size: 262 kDa
Observed band size: 285 kDa

Immunohistochemistry (Formalin/PFA-fixed paraffin-embedded sections) - Anti-Fibronectin antibody (ab2413)
Immunohistochemical analysis of formalin-fixed, paraffin-embedded human kidney tissue, staining Fibronectin with ab2413.

Immunocytochemistry/ Immunofluorescence - Anti-Fibronectin antibody (ab2413)
ICC/IF image of ab2413 stained HeLa cells. The cells were 4% PFA fixed (10 min) and then incubated in 1%BSA / 10% normal goat serum / 0.3M glycine in 0.1% PBS-Tween for 1h to permeabilise the cells and block non-specific protein-protein interactions. The cells were then incubated with the antibody (ab2413, 1 µg/ml) overnight at +4°C. The secondary antibody (green) was Alexa Fluor® 488 goat anti-rabbit IgG (H+L) used at a 1/1000 dilution for 1h. Alexa Fluor® 594 WGA was used to label plasma membranes (red) at a 1/200 dilution for 1h. DAPI was used to stain the cell nuclei (blue). This antibody also gave a positive IF result in Hek293, HepG2 and MCF7 cells.

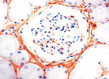
Immunohistochemistry (Formalin/PFA-fixed paraffin-embedded sections) - Anti-Fibronectin antibody (ab2413)
ab2413 staining Fibronectin in human kidney tissue section by IHC-P (Formalin/PFA-fixed paraffin embedded tissue sections). Tissue sections were incubated with ab2413 at a dilution of 1:250 for one hour. Heat mediated antigen retrieval technique was used with citrate buffer at pH 6.0. DAB staining was done with a biotinylated secondary for 45 min at RT at a concentration of 1:1000.
