JavaScript is disabled in your browser. Please enable JavaScript to view this website.

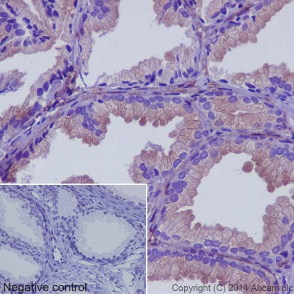
Anti-Rab7B antibody [EPR15727] - BSA and Azide free(ab240974)

$undefined

Anti-Rab7B antibody [EPR15727] - BSA and Azide free(ab240974)

Anti-Rab7B antibody [EPR15727] - BSA and Azide free(ab240974)

Anti-Rab7B antibody [EPR15727] - BSA and Azide free(ab240974)

Rabbit Recombinant Monoclonal Rab7B antibody. Carrier free. Suitable for WB, Flow Cyt (Intra), IHC-P and reacts with Mouse, Human samples.
Specifications
Shipped At Conditions Blue Ice
Appropriate Long term Storage Conditions Store at +4°C.
Clonality Monoclonal
Applications Flow Cyt (Intra), IHC-P, WB
Species Reactivity Human, Mouse
Isotype IgG