JavaScript is disabled in your browser. Please enable JavaScript to view this website.

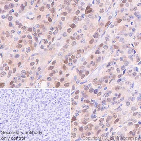
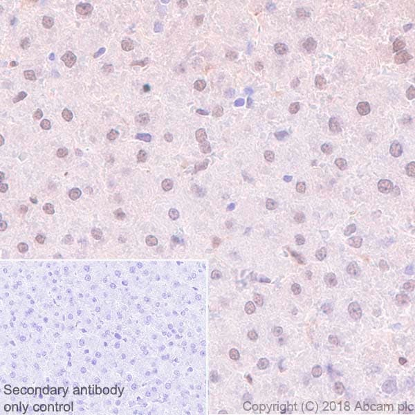
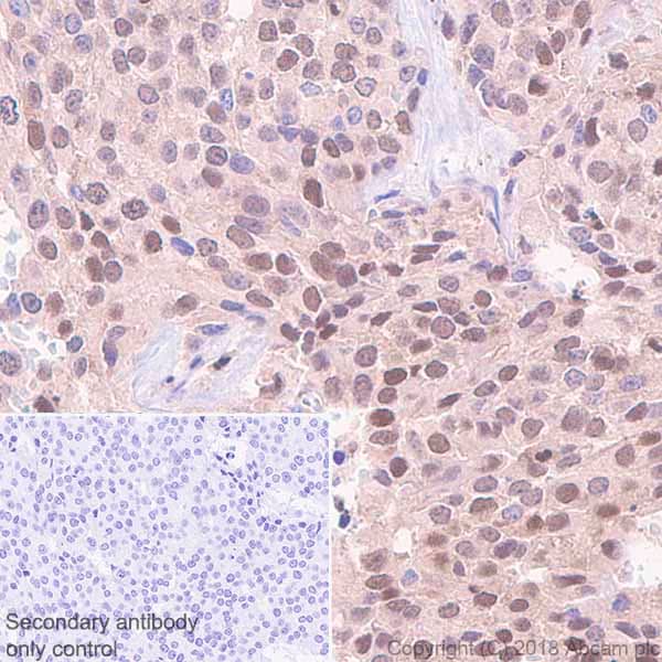
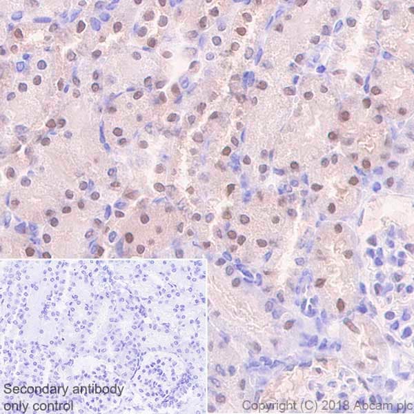
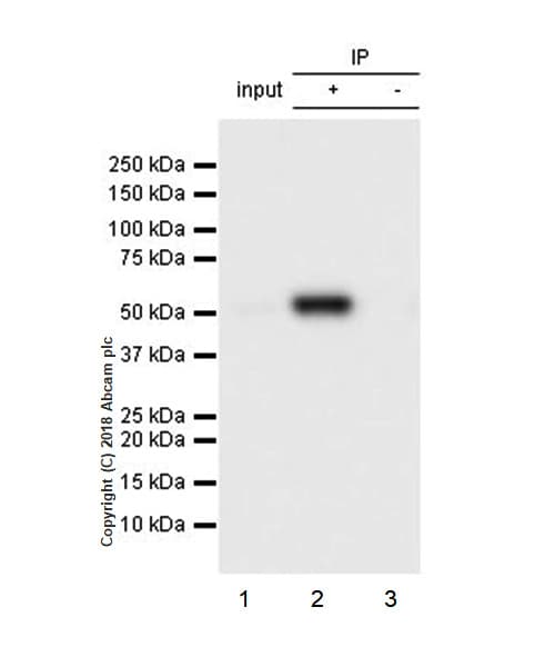
Anti-Visfatin antibody [EPR21984] - BSA and Azide free(AB240560)

$undefined

Anti-Visfatin antibody [EPR21984] - BSA and Azide free(AB240560)

Anti-Visfatin antibody [EPR21984] - BSA and Azide free(AB240560)

Anti-Visfatin antibody [EPR21984] - BSA and Azide free(AB240560)

Anti-Visfatin antibody [EPR21984] - BSA and Azide free(AB240560)

Anti-Visfatin antibody [EPR21984] - BSA and Azide free(AB240560)

Anti-Visfatin antibody [EPR21984] - BSA and Azide free(AB240560)

Anti-Visfatin antibody [EPR21984] - BSA and Azide free(AB240560)

Rabbit Recombinant Monoclonal Visfatin antibody. Carrier free. Suitable for IP, WB, Flow Cyt (Intra), IHC-P and reacts with Human, Mouse, Rat samples.
Specifications
Shipped At Conditions Blue Ice
Appropriate Long term Storage Conditions Store at +4°C.
Clonality Monoclonal
Applications Flow Cyt (Intra), IHC-P, IP, WB
Species Reactivity Human, Mouse, Rat
Isotype IgG