JavaScript is disabled in your browser. Please enable JavaScript to view this website.

Anti-PRDM1/Blimp1 antibody [EPR16655] - BSA and Azide free(AB240344)

$undefined

Anti-PRDM1/Blimp1 antibody [EPR16655] - BSA and Azide free(AB240344)

Anti-PRDM1/Blimp1 antibody [EPR16655] - BSA and Azide free(AB240344)

Anti-PRDM1/Blimp1 antibody [EPR16655] - BSA and Azide free(AB240344)

Anti-PRDM1/Blimp1 antibody [EPR16655] - BSA and Azide free(AB240344)

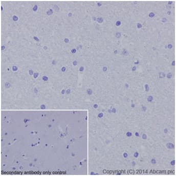
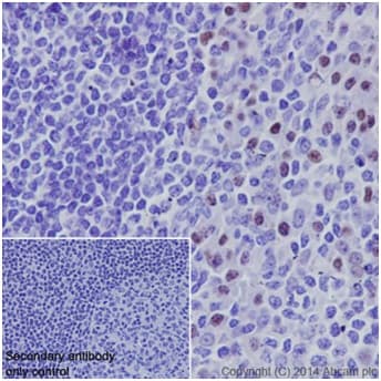
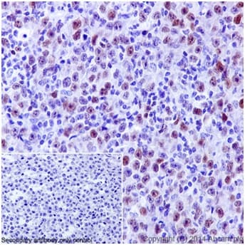
Rabbit Recombinant Monoclonal PRDM1/Blimp1 antibody. Carrier free. Suitable for ICC/IF, IHC-P and reacts with Human samples.
Specifications
Shipped At Conditions Blue Ice
Appropriate Long term Storage Conditions Store at +4°C.
Clonality Monoclonal
Applications ICC/IF, IHC-P
Species Reactivity Human
Isotype IgG