JavaScript is disabled in your browser. Please enable JavaScript to view this website.

Anti-FOXO3A (phospho S253) antibody [EPR1951(2)] - BSA and Azide free(ab240127)

$undefined

Anti-FOXO3A (phospho S253) antibody [EPR1951(2)] - BSA and Azide free(ab240127)

Anti-FOXO3A (phospho S253) antibody [EPR1951(2)] - BSA and Azide free(ab240127)

Anti-FOXO3A (phospho S253) antibody [EPR1951(2)] - BSA and Azide free(ab240127)

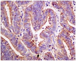
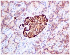
Rabbit Recombinant Monoclonal FOXO3A phospho S253 antibody. Carrier free. Suitable for IHC-P, Dot, WB and reacts with Human, Synthetic peptide samples. Cited in 2 publications.
Specifications
Shipped At Conditions Blue Ice
Appropriate Long term Storage Conditions Store at +4°C.
Clonality Monoclonal
Applications Dot, Flow Cyt, ICC/IF, IHC-P, IP, WB
Species Reactivity Human
Isotype IgG