JavaScript is disabled in your browser. Please enable JavaScript to view this website.

Anti-APLP2 antibody [EPR5938(2)] - BSA and Azide free(ab240117)

$undefined

Anti-APLP2 antibody [EPR5938(2)] - BSA and Azide free(ab240117)

Anti-APLP2 antibody [EPR5938(2)] - BSA and Azide free(ab240117)

Anti-APLP2 antibody [EPR5938(2)] - BSA and Azide free(ab240117)

Anti-APLP2 antibody [EPR5938(2)] - BSA and Azide free(ab240117)

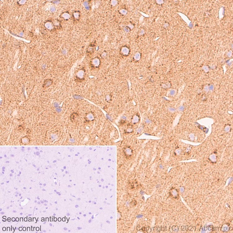
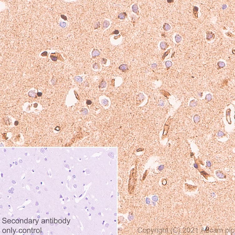
Rabbit Recombinant Monoclonal APLP2 antibody. Carrier free. Suitable for IHC-P, WB and reacts with Rat, Human, Mouse samples.
Specifications
Shipped At Conditions Blue Ice
Appropriate Long term Storage Conditions Store at +4°C.
Clonality Monoclonal
Applications IHC-P, WB
Species Reactivity Human, Mouse, Rat
Isotype IgG