JavaScript is disabled in your browser. Please enable JavaScript to view this website.

Anti-DARC antibody [EPR5205] - BSA and Azide free(ab240100)

$undefined

Anti-DARC antibody [EPR5205] - BSA and Azide free(ab240100)

Anti-DARC antibody [EPR5205] - BSA and Azide free(ab240100)

Anti-DARC antibody [EPR5205] - BSA and Azide free(ab240100)

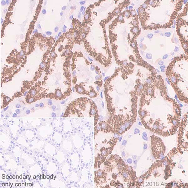
Rabbit Recombinant Monoclonal DARC antibody. Carrier free. Suitable for IHC-P, IP, WB and reacts with Human samples.
Specifications
Shipped At Conditions Blue Ice
Appropriate Long term Storage Conditions Store at +4°C.
Clonality Monoclonal
Applications IHC-P, IP, WB
Species Reactivity Human
Isotype IgG