JavaScript is disabled in your browser. Please enable JavaScript to view this website.

Anti-MHC class I + HLA A + HLA B antibody [EPR1394Y] - BSA and Azide free(ab240087)

$undefined

Anti-MHC class I + HLA A + HLA B antibody [EPR1394Y] - BSA and Azide free(ab240087)

Anti-MHC class I + HLA A + HLA B antibody [EPR1394Y] - BSA and Azide free(ab240087)

Anti-MHC class I + HLA A + HLA B antibody [EPR1394Y] - BSA and Azide free(ab240087)

Anti-MHC class I + HLA A + HLA B antibody [EPR1394Y] - BSA and Azide free(ab240087)

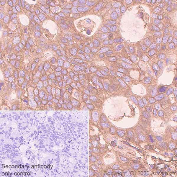
Rabbit Recombinant Monoclonal HLA A antibody. Carrier free. Suitable for IHC-P, Flow Cyt, WB, ICC/IF and reacts with Human samples. Cited in 1 publication.
Specifications
Shipped At Conditions Blue Ice
Appropriate Long term Storage Conditions Store at +4°C.
Clonality Monoclonal
Applications Flow Cyt, ICC/IF, IHC-P, WB
Species Reactivity Human
Isotype IgG