JavaScript is disabled in your browser. Please enable JavaScript to view this website.

Anti-CD79b antibody [EPR6861] - BSA and Azide free(ab240083)

$undefined

Anti-CD79b antibody [EPR6861] - BSA and Azide free(ab240083)

Anti-CD79b antibody [EPR6861] - BSA and Azide free(ab240083)

Anti-CD79b antibody [EPR6861] - BSA and Azide free(ab240083)

Anti-CD79b antibody [EPR6861] - BSA and Azide free(ab240083)

Anti-CD79b antibody [EPR6861] - BSA and Azide free(ab240083)

Anti-CD79b antibody [EPR6861] - BSA and Azide free(ab240083)

Anti-CD79b antibody [EPR6861] - BSA and Azide free(ab240083)

Anti-CD79b antibody [EPR6861] - BSA and Azide free(ab240083)

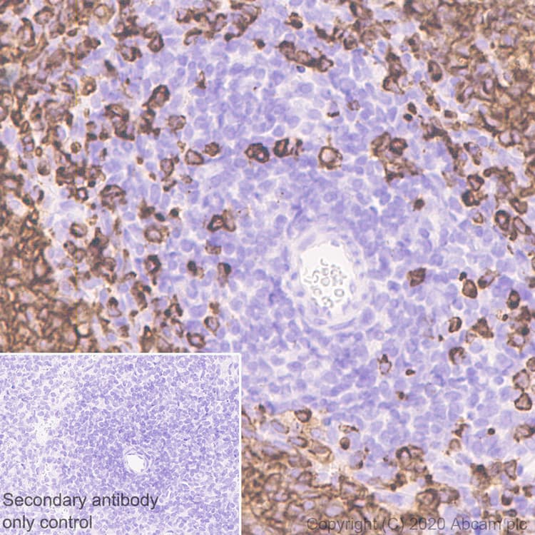
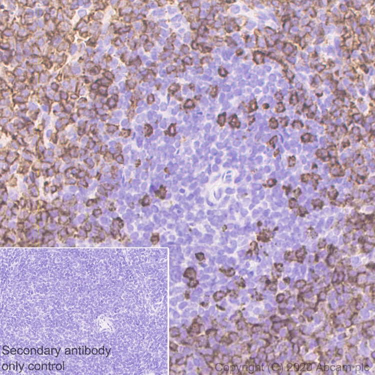
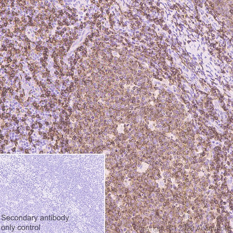
Rabbit Recombinant Monoclonal CD79b antibody. Carrier free. Suitable for IHC-P, Flow Cyt, WB, ICC/IF and reacts with Rat, Human, Mouse samples.
Specifications
Shipped At Conditions Blue Ice
Appropriate Long term Storage Conditions Store at +4°C.
Clonality Monoclonal
Applications Flow Cyt, ICC/IF, IHC-P, WB
Species Reactivity Human, Mouse, Rat
Isotype IgG