JavaScript is disabled in your browser. Please enable JavaScript to view this website.

Anti-Thioredoxin / TRX antibody [EPR6110] - BSA and Azide free(ab240066)

$undefined

Anti-Thioredoxin / TRX antibody [EPR6110] - BSA and Azide free(ab240066)

Anti-Thioredoxin / TRX antibody [EPR6110] - BSA and Azide free(ab240066)

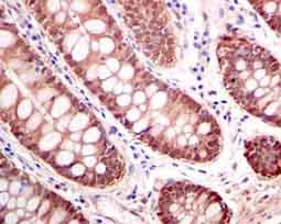
Rabbit Recombinant Monoclonal Thioredoxin / TRX antibody. Carrier free. Suitable for IHC-P, IP, WB and reacts with Human samples.
Specifications
Shipped At Conditions Blue Ice
Appropriate Long term Storage Conditions Store at +4°C.
Clonality Monoclonal
Applications Flow Cyt, IHC-P, IP, WB
Species Reactivity Human
Isotype IgG