JavaScript is disabled in your browser. Please enable JavaScript to view this website.

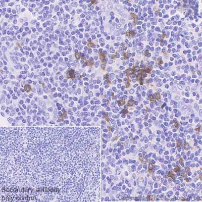
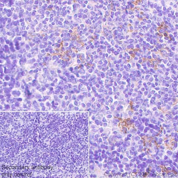
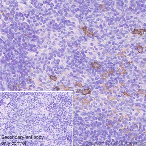
Anti-CLEC4C antibody [EPR21985](ab239078)

$undefined

Anti-CLEC4C antibody [EPR21985](ab239078)

Anti-CLEC4C antibody [EPR21985](ab239078)

Anti-CLEC4C antibody [EPR21985](ab239078)

Anti-CLEC4C antibody [EPR21985](ab239078)

Anti-CLEC4C antibody [EPR21985](ab239078)

Rabbit Recombinant Monoclonal CLEC4C antibody. Suitable for Flow Cyt, IHC-P and reacts with Human, Mouse, Rat samples.
Specifications
Shipped At Conditions Blue Ice
Appropriate Long term Storage Conditions Store at -20°C.
Clonality Monoclonal
Applications Flow Cyt, IHC-P
Species Reactivity Human, Mouse, Rat
Isotype IgG