JavaScript is disabled in your browser. Please enable JavaScript to view this website.

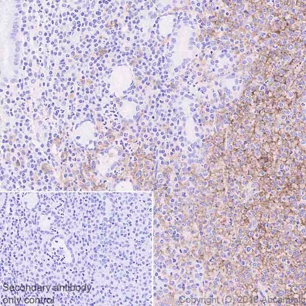
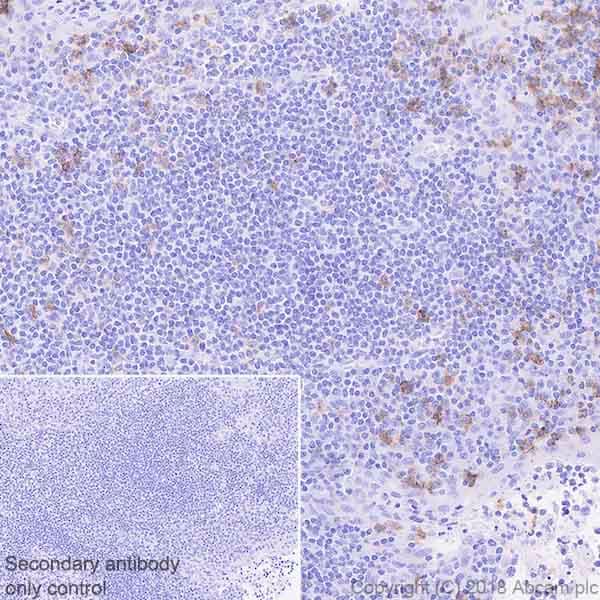
Anti-FCRL4 antibody [EPR21961](ab239076)

$undefined

Fcrl4 Antibody Epr21961 Ab239076  Immunohistochemistry Formalin Pfa Fixed Paraffin Embedded Sections Img15098

Fcrl4 Antibody Epr21961 Ab239076  Immunohistochemistry Formalin Pfa Fixed Paraffin Embedded Sections Img28959

Anti-FCRL4 antibody [EPR21961] ab239076 is a rabbit monoclonal antibody that is used in FCRL4 IHC. Suitable for human samples.

- Recombinant format for unrivaled batch-batch consistency: no need for same-lot requests
- Specificity and sensitivity confirmed in IHC with multi-tissue microarray (TMA) validation
Specifications
Shipped At Conditions Blue Ice
Appropriate Long term Storage Conditions Store at -20°C.
Clonality Monoclonal
Applications IHC-P
Species Reactivity Human
Isotype IgG