JavaScript is disabled in your browser. Please enable JavaScript to view this website.

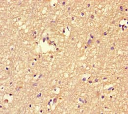
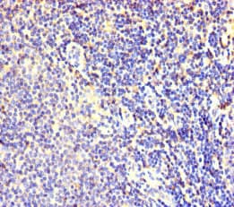
Anti-FBXL18 antibody(ab239066)

$undefined

Anti-FBXL18 antibody(ab239066)

Anti-FBXL18 antibody(ab239066)

Anti-FBXL18 antibody(ab239066)

Rabbit Polyclonal FBXL18 antibody. Suitable for IHC-P, ICC/IF and reacts with Human samples. Immunogen corresponding to Recombinant Fragment Protein within Human F-box/LRR-repeat protein 18 aa 1-400.
Specifications
Shipped At Conditions Blue Ice
Appropriate Long term Storage Conditions Store at -20°C.
Clonality Polyclonal
Applications ICC/IF, IHC-P
Species Reactivity Human
Isotype IgG