JavaScript is disabled in your browser. Please enable JavaScript to view this website.

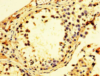
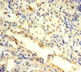
Anti-TBP-1 antibody(ab239029)

$undefined

Anti-TBP-1 antibody(ab239029)

Anti-TBP-1 antibody(ab239029)

Anti-TBP-1 antibody(ab239029)

Rabbit Polyclonal TBP-1 antibody. Suitable for IHC-P, ICC/IF and reacts with Human samples. Immunogen corresponding to Recombinant Fragment Protein within Human 26S proteasome regulatory subunit 6A aa 1-300.
Specifications
Shipped At Conditions Blue Ice
Appropriate Long term Storage Conditions Store at -20°C.
Clonality Polyclonal
Applications ICC/IF, IHC-P
Species Reactivity Human
Isotype IgG