JavaScript is disabled in your browser. Please enable JavaScript to view this website.

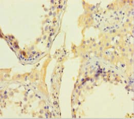
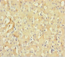
Anti-CNKR2 antibody(ab239026)

$undefined

Anti-CNKR2 antibody(ab239026)

Anti-CNKR2 antibody(ab239026)

Rabbit Polyclonal CNKR2 antibody. Suitable for IHC-P and reacts with Human samples. Immunogen corresponding to Recombinant Fragment Protein within Human Connector enhancer of kinase suppressor of ras 2 aa 650-800.
Specifications
Shipped At Conditions Blue Ice
Appropriate Long term Storage Conditions Store at -20°C.
Clonality Polyclonal
Applications IHC-P
Species Reactivity Human
Isotype IgG