JavaScript is disabled in your browser. Please enable JavaScript to view this website.

Anti-BTF3 antibody [EPR16495] - BSA and Azide free(ab239015)

$undefined

Anti-BTF3 antibody [EPR16495] - BSA and Azide free(ab239015)

Anti-BTF3 antibody [EPR16495] - BSA and Azide free(ab239015)

Anti-BTF3 antibody [EPR16495] - BSA and Azide free(ab239015)

Anti-BTF3 antibody [EPR16495] - BSA and Azide free(ab239015)

Anti-BTF3 antibody [EPR16495] - BSA and Azide free(ab239015)

Anti-BTF3 antibody [EPR16495] - BSA and Azide free(ab239015)

Anti-BTF3 antibody [EPR16495] - BSA and Azide free(ab239015)

Anti-BTF3 antibody [EPR16495] - BSA and Azide free(ab239015)

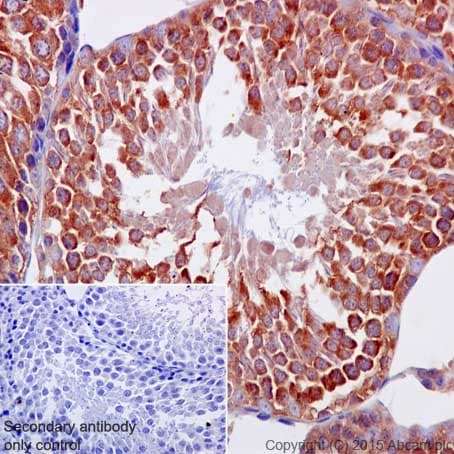
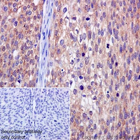
Rabbit Recombinant Monoclonal BTF3 antibody. Carrier free. Suitable for IP, WB, ICC/IF, Flow Cyt (Intra), IHC-P and reacts with Mouse, Human, Rat samples.
Specifications
Shipped At Conditions Blue Ice
Appropriate Long term Storage Conditions Store at +4°C.
Clonality Monoclonal
Applications Flow Cyt (Intra), ICC/IF, IHC-P, IP, WB
Species Reactivity Human, Mouse, Rat
Isotype IgG