JavaScript is disabled in your browser. Please enable JavaScript to view this website.

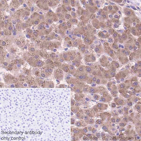
Anti-Proteasome Activator Subunit 4/PSME4 antibody [EPR13577(B)] - BSA and Azide free(ab238996)

$undefined

Anti-Proteasome Activator Subunit 4/PSME4 antibody [EPR13577(B)] - BSA and Azide free(ab238996)

Anti-Proteasome Activator Subunit 4/PSME4 antibody [EPR13577(B)] - BSA and Azide free(ab238996)

Anti-Proteasome Activator Subunit 4/PSME4 antibody [EPR13577(B)] - BSA and Azide free(ab238996)

Rabbit Recombinant Monoclonal Proteasome Activator Subunit 4/PSME4 antibody. Carrier free. Suitable for WB, IHC-P and reacts with Mouse, Rat, Human samples.
Specifications
Shipped At Conditions Blue Ice
Appropriate Long term Storage Conditions Store at +4°C.
Clonality Monoclonal
Applications IHC-P, WB
Species Reactivity Human, Mouse, Rat
Isotype IgG