JavaScript is disabled in your browser. Please enable JavaScript to view this website.

Anti-Geminin antibody [EPR14637] - BSA and Azide free(ab238988)

$undefined

Anti-Geminin antibody [EPR14637] - BSA and Azide free(ab238988)

Anti-Geminin antibody [EPR14637] - BSA and Azide free(ab238988)

Anti-Geminin antibody [EPR14637] - BSA and Azide free(ab238988)

Anti-Geminin antibody [EPR14637] - BSA and Azide free(ab238988)

Anti-Geminin antibody [EPR14637] - BSA and Azide free(ab238988)

Anti-Geminin antibody [EPR14637] - BSA and Azide free(ab238988)

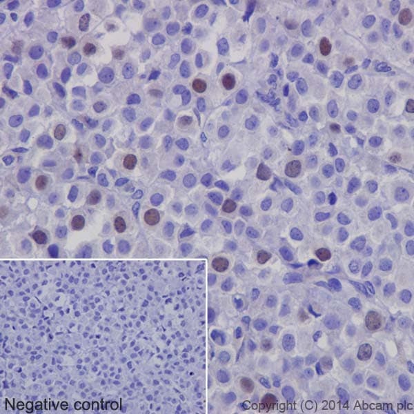
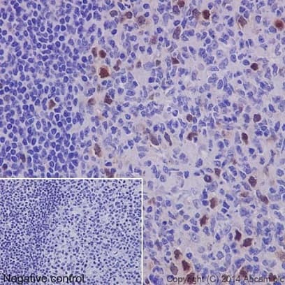
Rabbit Monoclonal Geminin antibody. Carrier free. Suitable for WB, ICC/IF, IHC-P and reacts with Human samples. Cited in 1 publication.
Specifications
Shipped At Conditions Blue Ice
Appropriate Long term Storage Conditions Store at +4°C.
Clonality Monoclonal
Applications ICC/IF, IHC-P, WB
Species Reactivity Human
Isotype IgG