JavaScript is disabled in your browser. Please enable JavaScript to view this website.

Anti-ROS1 antibody [EPMGHR2] - BSA and Azide free(ab238986)

$undefined

Anti-ROS1 antibody [EPMGHR2] - BSA and Azide free(ab238986)

Anti-ROS1 antibody [EPMGHR2] - BSA and Azide free(ab238986)

Anti-ROS1 antibody [EPMGHR2] - BSA and Azide free(ab238986)

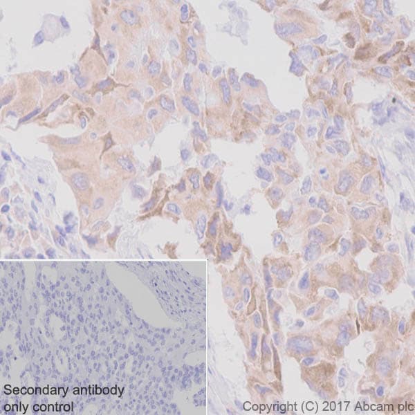
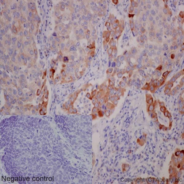
Rabbit Recombinant Monoclonal ROS1 antibody. Carrier free. Suitable for WB, IHC-P and reacts with Human samples.
Specifications
Shipped At Conditions Blue Ice
Appropriate Long term Storage Conditions Store at +4°C.
Clonality Monoclonal
Applications IHC-P, WB
Species Reactivity Human
Isotype IgG