JavaScript is disabled in your browser. Please enable JavaScript to view this website.

Anti-RNA Helicase A antibody [EPR13521] - BSA and Azide free(ab238985)

$undefined

Anti-RNA Helicase A antibody [EPR13521] - BSA and Azide free(ab238985)

Anti-RNA Helicase A antibody [EPR13521] - BSA and Azide free(ab238985)

Anti-RNA Helicase A antibody [EPR13521] - BSA and Azide free(ab238985)

Anti-RNA Helicase A antibody [EPR13521] - BSA and Azide free(ab238985)

Anti-RNA Helicase A antibody [EPR13521] - BSA and Azide free(ab238985)

Anti-RNA Helicase A antibody [EPR13521] - BSA and Azide free(ab238985)

Anti-RNA Helicase A antibody [EPR13521] - BSA and Azide free(ab238985)

Anti-RNA Helicase A antibody [EPR13521] - BSA and Azide free(ab238985)

Anti-RNA Helicase A antibody [EPR13521] - BSA and Azide free(ab238985)

Anti-RNA Helicase A antibody [EPR13521] - BSA and Azide free(ab238985)

Anti-RNA Helicase A antibody [EPR13521] - BSA and Azide free(ab238985)

Anti-RNA Helicase A antibody [EPR13521] - BSA and Azide free(ab238985)

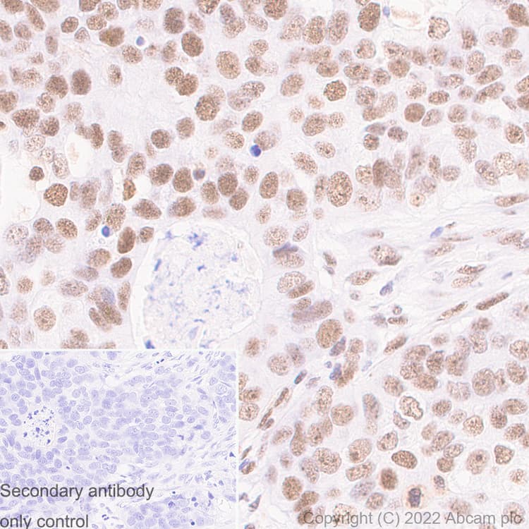
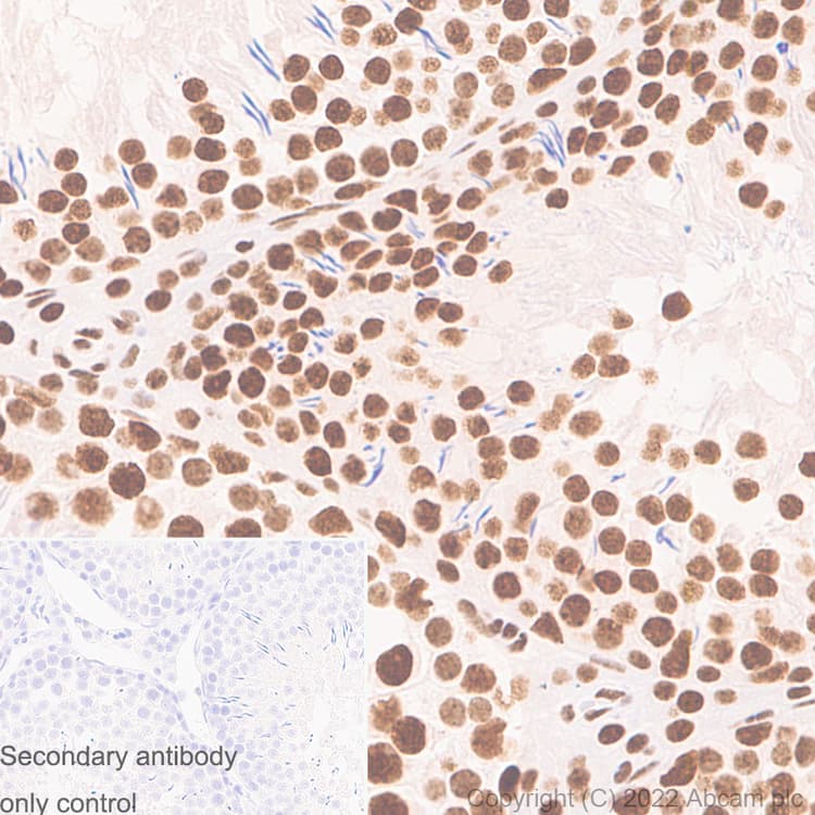
Rabbit Recombinant Monoclonal RNA Helicase A antibody. Carrier free. Suitable for WB, ICC/IF, Flow Cyt (Intra), IHC-P and reacts with Human, Mouse, Rat samples.
Specifications
Shipped At Conditions Blue Ice
Appropriate Long term Storage Conditions Store at +4°C.
Clonality Monoclonal
Applications Flow Cyt (Intra), ICC/IF, IHC-P, WB
Species Reactivity Human, Mouse, Rat
Isotype IgG