JavaScript is disabled in your browser. Please enable JavaScript to view this website.

Anti-CYP27B1 antibody [EPR20271] - BSA and Azide free(ab238978)

$undefined

Anti-CYP27B1 antibody [EPR20271] - BSA and Azide free(ab238978)

Anti-CYP27B1 antibody [EPR20271] - BSA and Azide free(ab238978)

Anti-CYP27B1 antibody [EPR20271] - BSA and Azide free(ab238978)

Anti-CYP27B1 antibody [EPR20271] - BSA and Azide free(ab238978)

Anti-CYP27B1 antibody [EPR20271] - BSA and Azide free(ab238978)

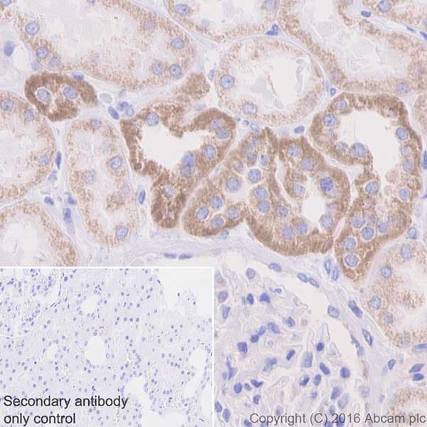
Rabbit Recombinant Monoclonal CYP27B1 antibody. Carrier free. Suitable for IP, WB, IHC-P and reacts with Human, Rat, Recombinant fragment, Mouse samples.
Specifications
Shipped At Conditions Blue Ice
Appropriate Long term Storage Conditions Store at +4°C.
Clonality Monoclonal
Applications IHC-P, IP, WB
Species Reactivity Human, Mouse, Rat
Isotype IgG