JavaScript is disabled in your browser. Please enable JavaScript to view this website.

Anti-Histone H3 antibody [EPR16987] - BSA and Azide free(ab238971)

$undefined

Anti-Histone H3 antibody [EPR16987] - BSA and Azide free(ab238971)

Anti-Histone H3 antibody [EPR16987] - BSA and Azide free(ab238971)

Anti-Histone H3 antibody [EPR16987] - BSA and Azide free(ab238971)

Anti-Histone H3 antibody [EPR16987] - BSA and Azide free(ab238971)

Anti-Histone H3 antibody [EPR16987] - BSA and Azide free(ab238971)

Anti-Histone H3 antibody [EPR16987] - BSA and Azide free(ab238971)

Anti-Histone H3 antibody [EPR16987] - BSA and Azide free(ab238971)

Anti-Histone H3 antibody [EPR16987] - BSA and Azide free(ab238971)

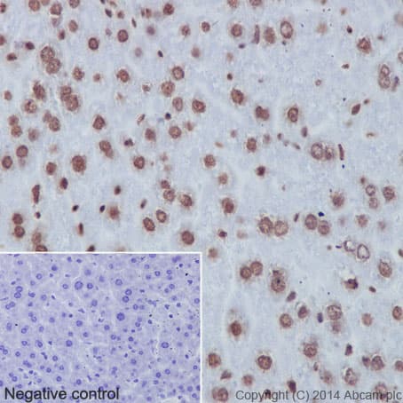
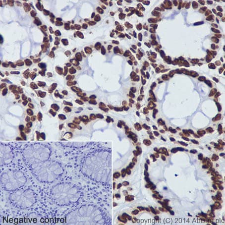
Rabbit Recombinant Monoclonal H3 antibody. Carrier free. Suitable for ChIP, WB, PepArr, ICC/IF, Flow Cyt (Intra), IHC-P and reacts with Human, Mouse, Rat, Schizosaccharomyces pombe, Saccharomyces cerevisiae, Drosophila melanogaster samples.
Specifications
Shipped At Conditions Blue Ice
Appropriate Long term Storage Conditions Store at +4°C.
Clonality Monoclonal
Applications ChIP, Flow Cyt (Intra), ICC/IF, IHC-P, PepArr, WB
Species Reactivity Drosophila melanogaster, Human, Mouse, Rat, Saccharomyces cerevisiae, Schizosaccharomyces pombe
Isotype IgG