JavaScript is disabled in your browser. Please enable JavaScript to view this website.

Anti-TRADD antibody [EPR3604] - BSA and Azide free(ab238960)

$undefined

Anti-TRADD antibody [EPR3604] - BSA and Azide free(ab238960)

Anti-TRADD antibody [EPR3604] - BSA and Azide free(ab238960)

Anti-TRADD antibody [EPR3604] - BSA and Azide free(ab238960)

Anti-TRADD antibody [EPR3604] - BSA and Azide free(ab238960)

Anti-TRADD antibody [EPR3604] - BSA and Azide free(ab238960)

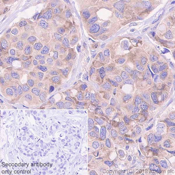
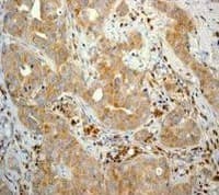
Rabbit Recombinant Monoclonal TRADD antibody. Carrier free. Suitable for IHC-P, WB, ICC/IF, Flow Cyt (Intra) and reacts with Human samples. Cited in 1 publication.
Specifications
Shipped At Conditions Blue Ice
Appropriate Long term Storage Conditions Store at +4°C.
Clonality Monoclonal
Applications Flow Cyt (Intra), ICC/IF, IHC-P, WB
Species Reactivity Human
Isotype IgG