JavaScript is disabled in your browser. Please enable JavaScript to view this website.

Anti-SMAD5 antibody [EP619Y] - BSA and Azide free(ab238952)

$undefined

Anti-SMAD5 antibody [EP619Y] - BSA and Azide free(ab238952)

Anti-SMAD5 antibody [EP619Y] - BSA and Azide free(ab238952)

Anti-SMAD5 antibody [EP619Y] - BSA and Azide free(ab238952)

Anti-SMAD5 antibody [EP619Y] - BSA and Azide free(ab238952)

Anti-SMAD5 antibody [EP619Y] - BSA and Azide free(ab238952)

Anti-SMAD5 antibody [EP619Y] - BSA and Azide free(ab238952)

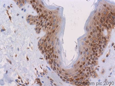
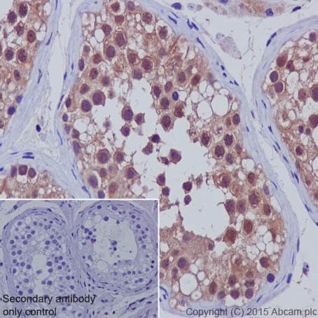
Rabbit Recombinant Monoclonal SMAD5 antibody. Carrier free. Suitable for WB, ICC/IF, Flow Cyt (Intra), IHC-P and reacts with Mouse, African green monkey, Human, Rat samples.
Specifications
Shipped At Conditions Blue Ice
Appropriate Long term Storage Conditions Store at +4°C.
Clonality Monoclonal
Applications Dot, Flow Cyt (Intra), ICC/IF, IHC-P, WB
Species Reactivity African green monkey, Human, Mouse, Rat
Isotype IgG